Modern dentistry.
Boutique comfort.
25 years of expertise, wrapped in a space you'll actually enjoy being in. Welcome to dental care done differently.
Dentistry for the modern human. Right here at ClearSmile.
We're not your typical dental clinic. We're a team of smile obsessives who believe great dental care should feel as good as it looks. Whether it's a routine glow-up, a full smile makeover, or aligners that nobody will notice — we've got you. No stress. No judgment. Just honest care and beautiful results. Been a while since your last visit? Perfect. We love fresh starts.
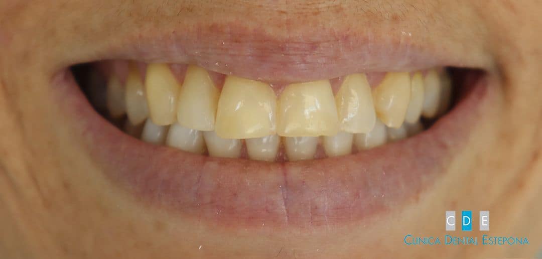
Real Smiles. Real Results.
Zero filters. Zero edits. Just our work.
Hover each card to reveal the result












Every smile in this gallery belongs to a real patient who trusted us with their transformation. Yours could be next.
Start Your Smile JourneyReal patients. Real results.
“Amazing Dental Practice. The surgeons and the whole support staff were flawless. I had a big surgery (over 2 hours long) but it was all very professional and every step explained. Great service. Thank you so much CDE. And the view when you having the treatment done, helps a lot 😁”
“I went in as a bundle of nerves and came out wondering why I ever worried! The staff and dentist were absolute superstars — calm, kind, and genuinely brilliant at putting me at ease. And the best part? I got a sea view while having my tooth extracted. Who knew dental work could feel like a mini coastal getaway? 😃🦷🌊”
“We can't express enough gratitude to the entire team of CDE! Me and my whole family is attended there and have had only positive experiences. We like everything about this dentist practice: the clean, ample and welcoming space, the genuine care and attention to detail.”
“Excellent dental practice at ClearSmile. I have a dentist phobia and I am very nervous regarding dental visits. However I have had nothing but caring, patient care and service. Prompt response when I recently needed an emergency appointment. All staff polite and helpful. Can happily recommend.”
“I had a bit of an emergency with a cracked and broken crown. After a few visits I now have a beautiful new crown and bridge. They are so professional from the receptionist, assistants and dentists. I am from the US and speak very little Spanish — communication was never an issue.”
“If you need perfect dental treatment at perfect prices just go to ClearSmile. Very professional. All staff are excellent and speak many languages. I have been treated like a member of family here and always greeted by my first name. Highly highly recommended.”
What We Do. And Love Doing.
From your routine glow-up to a complete smile transformation.
Dental Aesthetics
Veneers, bonding, contouring — whatever it takes to give you the smile you see in your head.
Learn MorePeriodontics
Healthy gums = healthy everything. We catch issues early and treat them gently.
Learn MoreGeneral Dentistry
Checkups, cleanings, and fillings — delivered in a space that feels nothing like a clinic.
Paediatric Dentistry
Gentle, patient care designed to make kids actually excited about the dentist.
Orthodontics
Discreet clear aligners and modern braces that fit your lifestyle.
Invisible Braces
Clear aligners that work while you live your life. Nobody sees them.
Book Your Visit. Easy online scheduling.
No phone tag, no waiting. Pick your studio, pick your time, and we'll take care of the rest. New patient? We'll make a plan together.
Calle Real Studio
Calle Real Nº 99 1ºC
Av. Juan Carlos I Studio
Frente al Centro de Salud